Upgrade to Pro
— share decks privately, control downloads, hide ads and more …
Speaker Deck
Features
Speaker Deck
PRO
Sign in
Sign up for free
Search
Search
神戸百年記念病院 MRI紹介
Search
Sponsored
·
Ship Features Fearlessly
Turn features on and off without deploys. Used by thousands of Ruby developers.
→
神戸百年記念病院
April 08, 2025
Business
0
1.6k
神戸百年記念病院 MRI紹介
神戸百年記念病院
April 08, 2025
Tweet
Share
Other Decks in Business
See All in Business
メドピアグループ紹介資料
medpeer_recruit
10
150k
jinjer recruiting pitch
jinjer_official
0
180k
ワンキャリア 会社説明資料 / Company Deck
onecareer
7
280k
クラウドネイティブ型 電子カルテとセキュリティ / Cloud-Native Electronic Medical Records and Security
henryofficial
0
210
新卒採用向け説明資料
kazumakitao
1
1k
フルカイテン株式会社 採用資料
fullkaiten
0
83k
繋ぐだけで業務が変わる!TROCCO×kintoneで構築する、フロントとバックエンドをノンストップで結ぶデータ循環
primenumberusergroup
0
140
その"インサイト"、本当に意味ありますか? 〜Think N1な深いインサイトの見つけ方〜
inagakikay
1
1.1k
8 quotes that sum up recent trading in the travel sector
marketingttc
0
120
NEW POP-UP STORE DESIGN/JAPAN SHOP 2026
superpenguin
PRO
0
220
Rakus Career Introduction
rakus_career
0
490k
Corporate Story (GA technologies Co., Ltd.)
gatechnologies
0
660
Featured
See All Featured
How to Create Impact in a Changing Tech Landscape [PerfNow 2023]
tammyeverts
55
3.3k
Docker and Python
trallard
47
3.8k
Claude Code どこまでも/ Claude Code Everywhere
nwiizo
64
53k
The Hidden Cost of Media on the Web [PixelPalooza 2025]
tammyeverts
2
250
Introduction to Domain-Driven Design and Collaborative software design
baasie
1
640
End of SEO as We Know It (SMX Advanced Version)
ipullrank
3
4.1k
Self-Hosted WebAssembly Runtime for Runtime-Neutral Checkpoint/Restore in Edge–Cloud Continuum
chikuwait
0
400
Ethics towards AI in product and experience design
skipperchong
2
220
The Power of CSS Pseudo Elements
geoffreycrofte
82
6.2k
Believing is Seeing
oripsolob
1
84
brightonSEO & MeasureFest 2025 - Christian Goodrich - Winning strategies for Black Friday CRO & PPC
cargoodrich
3
120
Let's Do A Bunch of Simple Stuff to Make Websites Faster
chriscoyier
508
140k
Transcript
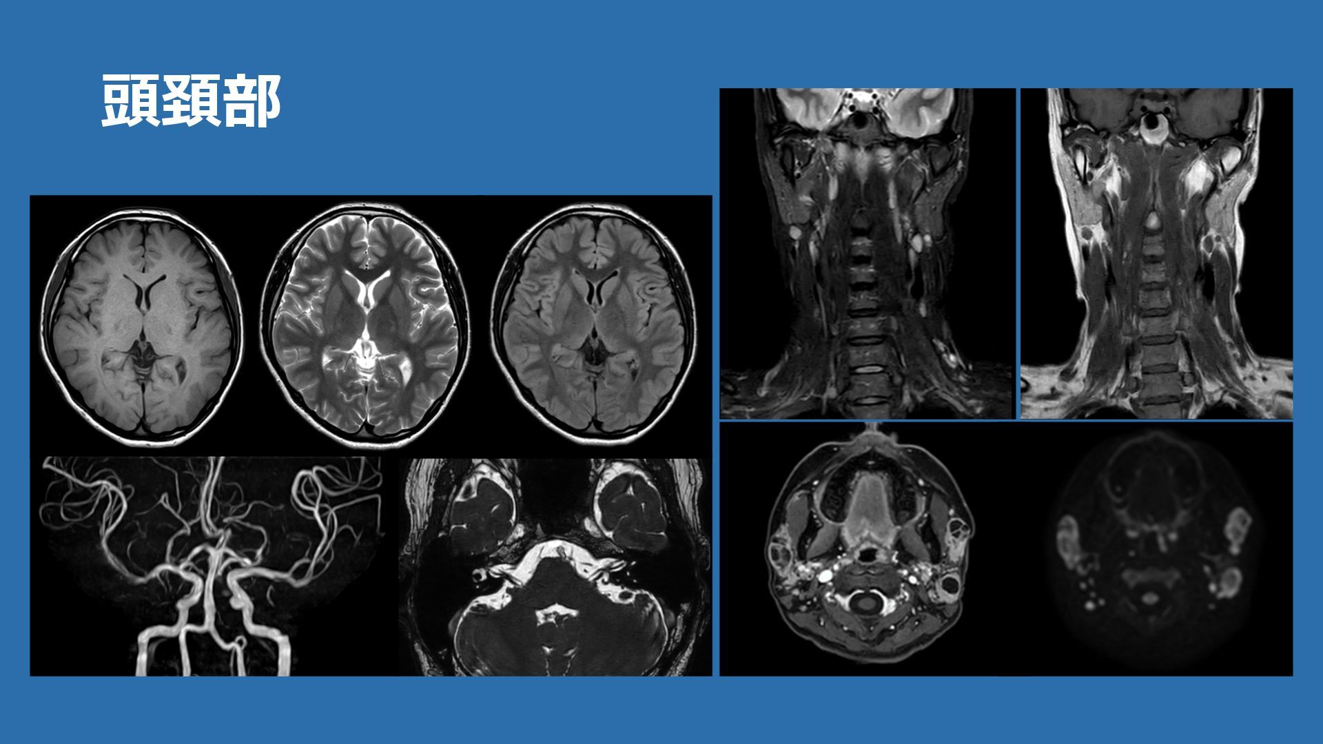
頭頚部
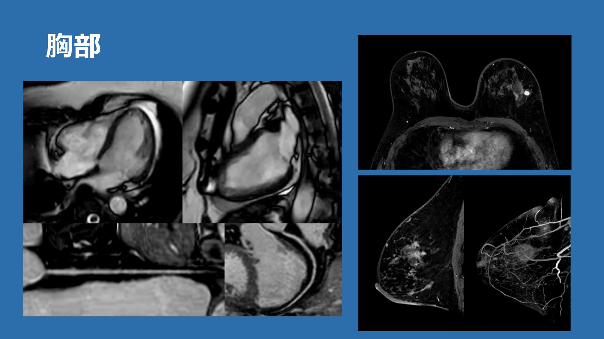
胸部
腹部
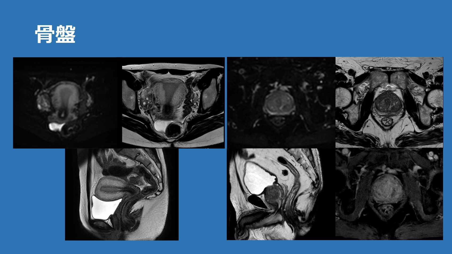
⾻盤
脊椎
四肢
四肢
全⾝
⾎管