Upgrade to Pro — share decks privately, control downloads, hide ads and more …

ABSCESOS Y TUMORES CEREBRALES

Sponsored · Your Podcast. Everywhere. Effortlessly. Share. Educate. Inspire. Entertain. You do you. We'll handle the rest.
Avatar for Dr. Re Dr. Re PRO
March 04, 2026
8.5k

ABSCESOS Y TUMORES CEREBRALES

Avatar for Dr. Re

Dr. Re PRO

March 04, 2026

Transcript

  1. ABSCESOS CEREBRALES Proceso supurativo focal en el interior del parenquima

    cerebral DEFINICIÓN 1er Fase de cerebritis 2° Formación de una cápsula de colágeno con gliosis pericapsular
  2. Etiopatogenia de los abscesos cerebrales Extensión por contiguidad (más frecuentes/únicos)

    • Sinusitis • Mastoiditis • Osteomielitis Diseminación hematógena (múltiples) • Pulmonar • Cardiopatías con cortocircuito derecha-izquierda (más frecuente en adultos) • Fístulas AV pulmonares (más frecuente en niños) • Infecciones dentales Postquirúrgicas Postraumáticas • Traumatismos penetrantes • Fracturas de la base del craneo ETIOPATOGENIA
  3. ABSCESOS CEREBRALES •FAMILIA STREPTOCOCCUS •POSTQUIRURGICOS O TCE: STAFILOCOCCUS AUREUS •Trasplantados:

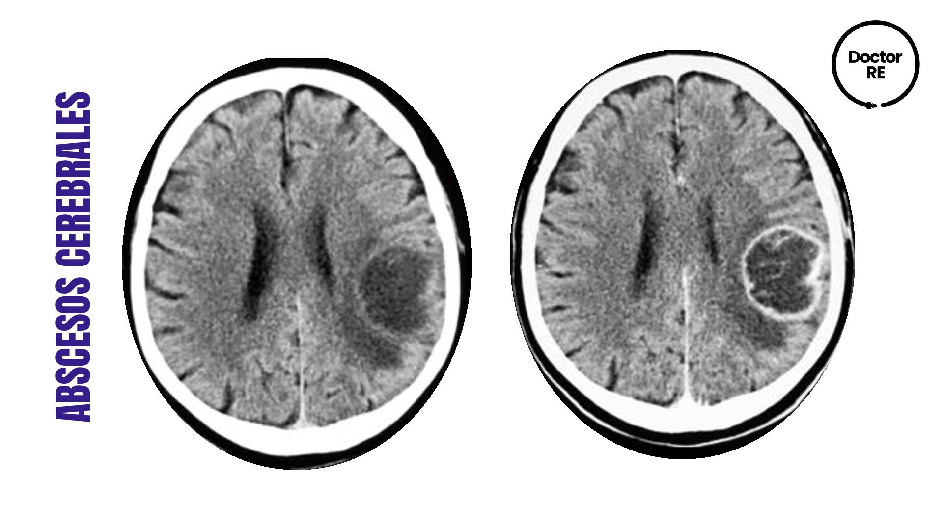
    Aspergillus fulmigatus •Inmunocomprometidos: Nocardia y toxoplasma ETIOLOGÍA: •CEFALEA •FIEBRE •FOCALIDAD NEUROLÓGICA (DÉFICIT O CONVULSIONES) CLÍNICA •TAC CON CONTRASTE (lesion hipodensa que capta el contraste en anillo) •RM mejor en fase cerebritis •Elevación VSG y PCR, leucocitosis DIAGNÓSTICO •CIRUGÍA EVACUADORA (ÚNICAS) Y ANTIBIÓTICOS (PENICILINA O CEFOTAXIMA + METRONODAZOL) (AUREUS: VANCOMICINA) •PAAF y Resección quirúrgica (TCE) •Dexametasona y anticomiciales sólo en presencia de crisis TRATAMIENTO
  4. TUMORES CEREBRALES GENERALIDADES Tumores metastásicos intracraneales son lo más frecuentes

    en el adulto. Tumor primario cerebral más frecuente en: ADULTOS: GLIOMAS ANAPLASICOS 7-80% ALTO GRADO NIÑOS: ASTROCITOMA PILOCITICO 30-50% BAJO GRADO En la edad infantil después de la leucemia y linfoma, las neoplasias intracraneales son los procesos malignos más comunes
  5. Tumores supratentoriales o hemisféricos debutan con Crisis convulsivas Focalidad neurológica

    Infratentoriales o de fosa posterior debutan con Sindrome cerebeloso Hipertensión IC TENTORIO DEL CEREBELO TENTORIO CEREBELAR ADULTOS ALTO GRADO NIÑOS BAJO GRADO
  6. ASTROCITOMA Neoplasia cerebral más frecuente en edad pediatrica Tumores derivados

    de los astrocitos. Son neoplasias que expresan Proteína gliofibrilar ácida (GFAP) 90% SOBREVIDA EN NIÑOS (BAJO GRADO)
  7. FACTORES DE RIESGO Astrocitoma alto grado: Radioterapia craneal 1-3% con

    periodo de latencia de 9-12 años para aparición Astrocitomas alto y bajo grado: Li Fraumeni, neurofibromatosis tipo I, Turcot, esclerosis tuberosa, sindrome de gorlin
  8. ESTADIFICACIÓN GRADO 1 BAJO POTENCIAL PROLIFERATIVO Crecimiento expansivo GRADO 2

    Crecimiento infiltrativo GRADO 3 LESIONES MALIGNAS, MITOTICAMENTE ACTIVAS Anaplasia y capacidad infiltrativa. GRADO 4 Tendencia a la necrosis
  9. ASTROCITOMAS DE BAJO GRADO (I Y II) ast(RO)citoma = (RO)senthal

    INFRATENTORIALES EN NIÑOS Manifestación más frecuente: crisis epilépticas. Se presenta como masas focales, poco edema y son de lento crecimiento No sufren transformación maligna Pueden tener regresión espontánea o recurrir tras reseccion. 30-50% Tumores SNC en niños Astrocitoma pilocítico + Frecuente Fibras de Rosenthal
  10. GLIOMAS DE ALTO GRADO (III Y IV) Astrocitoma anaplasico Glioblastoma

    multiforme: + frecuente Causa invasión local, mal pronóstico. 1/3 se originan en la región supratentorial (50% a su vez en hemisferios) Representa 10% tumores SNC en niños.(15 a 19 años) y adultos > 50 años RM: Glioblastoma de alto grado temporal izquierdo
  11. MEDULOBLASTOMA Meduloblastoma en vermis cerebeloso + diseminación espinal Altamente maligno

    con tendencia a diseminación leptomeníngea Pico 5 años Primera decada de la vida 20-30% + Hombres Se origina en techo del 4to ventriculo (infratentorial) Segundo tumor más común en niños (ME)duloblastoma = ho(ME)r Neuroectodermico primitivo indiferenciado Histológicamente Roseta de Homer-Wright
  12. DIAGNÓSTICO CLÍNICO Depende de : Localización Tipo de tumor Edad

    y desarrollo del paciente Diagnóstico es tardío. 41% se diagnostican en las primeras 3 visitas
  13. DIAGNÓSTICO RESONANCIA MAGNÉTICA SIMPLE Y CON GADOLINIO TAC simple y

    contrastada en falta de la anterior Pacientes con acceso quirúrgico difícil o resección completa no recomendada: biopsia por estereotaxia
  14. TRATAMIENTO ALTO GRADO (GLIOMA MULTIFORME) 1.- Cirugia 2.- Radioterapia 3.-

    Quimioterapia Mala supervivencia, 6 meses a 1 año. Cirugía Pronóstico excelente alta supervivencia TRATAMIENTO BAJO GRADO (ASTROCITOMA PILOCÍTICO)
  15. TRATAMIENTO MEDULOBLASTOMA CIRUGÍA QUIMIOTERAPIA (QT) RADIOTERAPIA (RT) +3 AÑOS BAJO

    RIESGO TUMOR -1.5 CM RT + POLI QT ALTO RIESGO TUMOR +1.5 CM QT -3 AÑOS ALTO RESIGO QT Y ENVIAR A CENTROS DE INVESTIGACION
  16. TUMORES DEL ADULTO •Region corticosubcortical de los hemisferios 80% •+

    Frecuente en fosa posterior •Metástasis de Ca pulmonar: carcinoma celulas pequeñas •Otros: melanoma y mama Más frecuentes METASTÁTICOS •Cefalea intensa por la mañana •Datos de focalidad neurologica (afasia, hemiparesia) •Convulsiones Clínica •TAC simple y contraste: imagen en anillo Diagnóstico Metástasis cerebrales múltiples de carcinoma de pulmón con captación de contraste en anillo
  17. TRATAMIENTO Metástasis Primario controlado Única Cirugía RT holocraneal Múltiple <3

    Cirugía >3 RT holocraneal Primario no controlado No tratar/RT holocraneana paliativa
  18. Grupo heterogéneo de malformaciones congénitas del SNC, ocasionadas por una

    falla en el cierre del tubo neural durante la embriogénesis, en el cual el arco posterior de la columna vertebral se encuentra incompleto o ausente. DEFINICIÓN, EPIDEMOLOGÍA 16 x 100,000 Nacimientos en México en 2021 MTHFR Mutación en el gen de la metilentetrahidrofolato reductasa C677T 20% Asocia otras malformaciones 95% no tiene antecedentes familiares
  19. PREVENCIÓN • En México, desde 1992 se recomienda la ingesta

    de 0.4 mg de ácido fólico en mujeres en edad reproductiva. • Se recomienda 0.4 mg de ácido fólico de 1 a 3 meses antes de la concepción y hasta la semana 12 de gestación (4–5 mg en mujeres de alto riesgo). El riesgo de espina bífida se puede reducir hasta en un 70% si antes del embarazo la madre ingiere diariamente ácido fólico en cantidad suficiente 70%
  20. DIAGNÓSTICO PRENATAL 1.- Alfafetoproteína (elevada en defectos de tubo neural

    abiertos en 60–80%). 2.- USG estructural del segundo trimestre (18–22 SDG) (100% en defectos abiertos) 3.- Referencia inmediata a Genética y Neurocirugía. Signo de “limón” Signo del “plátano”
  21. DIAGNÓSTICO CLÍNICO ESPINA BÍFIDA ABIERTA ESPINA BÍFIDA CERRADA Mielosquisis Seno

    dérmico congénito Meningocele (solo meninges) Lipomielomeningocele Mielomeningocele (médula y meninges) Médula anclada Diastematomielia (médula espinal hendida) Lipoma lumbosacro Quiste neuroentérico Asintomática o con clínica asociada: cifoescoliosis, lumbociática, pie equinovaro, asimetría de extremidades inferiores, signo de Babinski, úlceras tróficas y enuresis Diagnóstico al nacimiento por la presencia de un abultamiento en la espalda sobre la columna vertebral: lumbar, dorsal, cervical o combinación de estas. Diagnóstico postnatal por pediatría (exploración física): • Región de la lesión • Morfología • Presencia o ausencia de salida de líquido • Lesiones asociadas • Condiciones neurológicas
  22. AUXILIARES DIAGNÓSTICOS • Radiografías simples • Potenciales somatosensoriales • USG

    abdominal • TAC de cráneo • Resonancia magnética dorsolumbar • Pruebas urodinámicas
  23. TRATAMIENTO • No requieren cuidados especiales • Se egresan con

    la madre • Interconsulta a neurocirugía ESPINA BÍFIDA CERRADA ESPINA BÍFIDA ABIERTA • Incubadora o cuna radiante • Posición en prono o decúbito lateral • Medición diaria de PC (perímetro cefálico) • Curación de la lesión (cambio de gasa y apósito) de forma estéril con solución fisiológica al 0.9%, 2 veces al día • Toma de muestra si el saco está roto • Ingreso a UCIN • Manejo estricto de líquidos y vigilancia de signos vitales • Valoración por Pediatría, Neuropediatría, Neurocirugía, Ortopedia y Urología pediátrica
  24. TRATAMIENTO • Cierre del defecto en mielomeningocele en las primeras

    24–36 horas después del nacimiento. • Válvula de derivación ventrículo-peritoneal en caso de fuga de LCR o quiste grande Corrección del defecto si existen secuelas urológicas, ortopédicas o motoras, médula anclada, lipomas medulares o diastematomielia. • Rehabilitación desde el nacimiento, con cambios posturales, alineación de segmentos corporales y estimulación temprana. • Referencia a Rehabilitación a los 30 días de la cirugía